Science

Neutrophil Infiltration

Study Links Neutrophil Infiltration in Lungs to COVID-19 Symptoms A little known yet powerful function of overactive white blood cells known as neutrophils — the ability to form neutrophil extracellular traps (NETs) — may contribute to organ damage and mortality in COVID-19, according to a study from the NETwork Consortium. …

Read More »

Earth-Like Planet Found

Stunningly Earth-Like Planet Found Hiding in Kepler Telescope Data Most of the exoplanets discovered by Kepler, TESS, and other initiatives are much larger than Earth. Bigger planets are much easier to spot with our current technology, but scientists suspect there are a lot of Earth-like planets out there, too. Astronomers …

Read More »

Pastoralist Societies

Neolithic East African Pastoralist Societies Consumed Milk New research published in the Proceedings of the National Academy of Sciences provides the first evidence for diet and subsistence practices of Neolithic East African pastoralists. Neolithic rock art in Tassili n’Ajjer National Park, Sahara, Algeria. Image credit: Patrick Gruban, Munich, Germany / …

Read More »

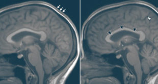
Spaceflight Affects

Study: Long-Duration Spaceflight Affects Brain Volume A new study led by Professor Larry Kramer from the University of Texas Health Science Center at Houston suggests that the impact of microgravity is far-reaching, potentially causing brain volume changes and pituitary gland deformation. Reconstructed sagittal 5-mm orthogonal midline images in the brain …

Read More »

Oumuamua Torn Apart by a Star?

Was Interstellar Visitor ‘Oumuamua Torn Apart by a Star? You might remember ‘Oumuamua, the very first interstellar visitor astronomers ever detected in our solar system. This object is almost certainly not an alien spaceship, but it does have an extremely bizarre elongated shape. Now, researchers from the Chinese Academy of …

Read More »

The Formation of the Moon

The Formation of the Moon May Have Stretched the Earth Into a Potato The question of how the Moon formed has fascinated astronomers and geologists for decades. Currently, the prevailing theory is that the Earth was struck by an approximately Mars-sized impactor very early in its life. This impact catastrophically …

Read More »

Ancient Decorated Ostrich Eggs

Archaeologists Solve Mystery of Ancient Decorated Ostrich Eggs Engraved, painted and embellished with ivory, precious metals and faience fittings, decorated ostrich eggs were traded and exchanged as luxury items around the Mediterranean during the Bronze and Iron Ages. As ostriches are not indigenous to Europe, decorated eggs must have been …

Read More »

Restore Mobility & Sensation

Scientists Restore Mobility and Sensation of Touch in Stroke-Injured Rats In a new experiment on rats, a team of researchers at Lund University has shown that by transplanting human induced pluripotent stem (iPS) cell-derived neurons into rat brains, it is possible to restore mobility and sensation of touch in the …

Read More »

Mercury-Bound Satellite

Mercury-Bound Satellite Slingshots Around Earth Today (VIDEO) It’s been a few years since we’ve talked about BepiColombo, the joint ESA / JAXA spacecraft headed for Mercury. When last we checked in with the probe, scientists were testing its ion drive. BepiColombo features the most powerful ion engine ever built. On …

Read More »

Neanderthals Making Cords

Neanderthals Were Capable of Making Cords Archaeologists working at the Neanderthal site of Abri du Maras in France have discovered a 46,000-year-old cord fragment — the oldest known direct evidence of fiber technology. A cord fragment from the site of Abri du Maras, France. Image credit: C2RMF. Neanderthals are often …

Read More »
Bizwhiznetwork Consultation