A team of researchers led by the University of Edinburgh has grown human egg cells (oocytes) — which were removed from ovary tissue at their earliest stage of development — to the point at which they are ready to be fertilized. The research is published in the journal Molecular Human …
Read More »Resistance to DNA Damage and Downregulation of Metabolic Processes May Contribute to Low Cancer Rates in Naked Mole Rats
Scientists have revealed that senescent naked mole rat cells downregulate key metabolic processes and are more resistant to DNA damage than their mouse counterparts, providing insight into the resistance of naked mole rats to cancer and aging. Researchers have demonstrated that cells of naked mole rats (Heterocephalus glaber) undergo cellular …
Read More »Painkiller Acetaminophen Has Unexpected Effects on Regulation of Sex Hormones: Study
A study published in the journal EBioMedicine has shown the potentially negative impact of acetaminophen (paracetamol) — one of the most common medications used for management of pain in the world and the most commonly used analgesic by pregnant women — on sex hormones, which has significant implications for reproductive …
Read More »Tiny Martian Moons Hint at Red Planet’s Adolescent Rejection
Like a teenage diary you can’t throw away, Mars might carry a reminder of its difficult formative years in its tiny moons. A paper published by the Royal Astronomical Society suggests the strangely small Phobos and Deimos could result from a traumatic slingshot rejection of the Red planet from the …
Read More »China Keeps Dropping Expended Rocket Boosters Near Villages
The China National Space Administration (CNSA) successfully launched its Long March-3B rocket on Monday, carrying a pair of satellites that will expand its Compass global navigation system. The launch took place at China’s Xichang Satellite Launch Center in Sichuan province. As you may know, Sichuan is smack dab in the …
Read More »The best ways to Tidy Your Arteries With One Simple Fruit
The future of cardiovascular disease prevention and treatment will not be discovered in your medication cabinet, rather in your kitchen cabinet or in your back yard growing on a tree. Pomegranate Found To Prevent Coronary Artery Disease Development A research study released in the journal Atherosclerosis validates that pomegranate extract …
Read More »South Africa’s water crisis spreads from Cape Town, Africa News & Top Stories
KATSE DAM, LESOTHO (REUTERS) – Cape Town is lacking water and low dam levels in the emerald-green highlands of Lesotho are raising alarm bells in South Africa’s industrial heartland around Johannesburg, which has so far avoided the scarcities hitting other regions. The traveler center of Cape Town may run dry …
Read More »Study: Far Ultraviolet C Light Inactivates Airborne Viruses
Low doses of far ultraviolet C light can inactivate airborne influenza and other viruses without harming human tissues, according to a study published in the February 9, 2018 issue of the journal Scientific Reports. Welch et al show for the first time that far-UVC efficiently inactivates airborne aerosolized viruses. These …
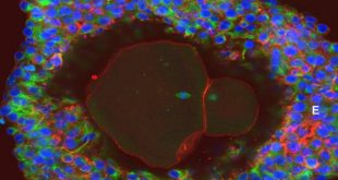
Read More »Researchers Create Functioning Human Kidney Tissue Using Stem Cells
An international research team led by University of Manchester scientists has generated human kidney tissue within a living organism which is able to produce urine. The results appear in the journal Stem Cell Reports. Section from a kidney progenitor-derived mass harvested from a mouse intravenously injected with low-molecular-weight, fluorescein isothiocyanate-labeled …
Read More »Two Asteroids Flew Safely Past Earth This Week
2018 CC and 2018 CB — two small asteroids recently discovered by NASA-funded astronomers — safely flew past our planet this week. This is an artist’s impression of an asteroid. Image credit: University of Colorado. Asteroid 2018 CC is estimated to be between 50 and 100 feet (15 and 30 …
Read More »
#Bizwhiznetwork.com Innovation ΛI |Technology News