It’s hard to pitch a product when part of the deal is that you will absolutely, 100 percent die if you become a customer. That’s an integral part of what Nectome is offering, though. This Y Combinator startup wants to give you the chance to live forever — sort of. …
Read More »Google Open Sources Exoplanet-Hunting AI
NASA’s Kepler satellite has been observing the stars for nearly a decade, and it’s produced a mountain of data in that time. Late last year, Google showed how machine learning could help astronomers dig through the Kepler backlog, and it discovered a few new exoplanets in the process. Google has …
Read More »Hogfish Can ‘See’ with Its Skin
Researchers have long suspected that color-changing animals like hogfish (Lachnolaimus maximus) don’t just rely on their eyes to tune their appearance to their surroundings — they also sense light with their skin; but exactly how ‘skin vision’ works remains a mystery. Now, a new genetic analysis of the hogfish reveals …
Read More »Vitamin D May Help Protect Against Cancer: Study
High Vitamin D levels may be linked to a lower risk of developing cancer, according to a study of Japanese adults published in the journal BMJ. In this study, higher Vitamin D concentration was associated with lower risk of total cancer; the findings support the hypothesis that Vitamin D has …
Read More »ESA’s Mars Express Spacecraft Observes Phobos and Deimos
New images and video captured by ESA’s Mars Express orbiter show two small Martian moons Phobos and Deimos drifting in front of the giant planet Saturn and background stars. This image of Phobos was acquired using the High Resolution Stereo Camera (HRSC) during Mars Express orbit 17,342 on September 12, …
Read More »Scientists Find Ultra-Rare Ice-VII on Earth for the First Time Inside Diamonds
Most scientific discoveries are the product of years of careful research, but sometimes science happens by accident. Such was the case for researchers at the University of Nevada who were looking for a specific form of carbon dioxide in diamonds. Instead, they detected the first ever samples of naturally occurring …
Read More »Three NASA Satellites Used to Model Solar Eruption in 3D
Understanding solar activity is a vital part of protecting spacecraft, but it’s difficult to know where the high-energy particles from a coronal mass ejection (CME) will go before they get there. A team of scientists has now used data from a trio of NASA satellites to develop a new model …
Read More »Rare Byzantine-Period Ring Uncovered in Israel
A 700-year-old bronze ring engraved with a portrait of St. Nicholas — the 4th century Orthodox Christian saint who inspired the iconography of Santa Claus — has been discovered by a gardener in northern Israel. The 700-year-old bronze ring depicts St. Nicholas. Image credit: Clara Amit, Israel Antiquities Authority. “I …
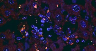
Read More »Study: Gut Bacteria Trigger Autoimmune Disease
Enterococcus gallinarum, a species of bacterium found in the small intestines of humans and mice, can travel to other organs and trigger an autoimmune response, according to a new study published in the journal Science. The findings suggest new approaches for treating chronic autoimmune conditions, including systemic lupus and autoimmune …
Read More »NASA Designs HAMMER Spacecraft to Deflect or Nuke Dangerous Asteroids
Humanity might not be safe even if we tackle challenges like global climate change and perpetual war. An asteroid could fall out of the sky and knock us back into the stone age, or worse, end our brief reign on this planet. NASA and the National Nuclear Security Administration (NNSA) …
Read More »
#Bizwhiznetwork.com Innovation ΛI |Technology News